白内障专科
2024-01-03 17:42:01
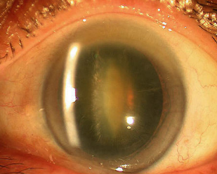
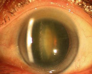
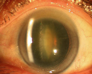
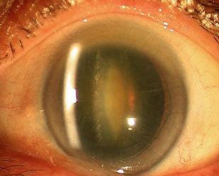
老年性白内障是导致老年眼盲的眼病之一,但是治疗眼睛白内障较好的方法就是晶体植入手术~所以,本期来分享在漳州做白内障手术费用需要多少钱,漳州哪家医院做白内障手术好?
2023-10-11 15:36:39
徐州白内障报销的比例要看选择的晶体,徐州白内障手术的价格,一般在10000-20000元,但具体的价格取决于手术方式,以及各地区不同医院、所在区域,具体的价格可能会有所差异。
2023-01-17 15:50:57
ICL晶体植入主刀医生:燕振国教授 ,教授/研究生导师,是西北ICL晶体植入术、全飞秒激光手术较早开展者,咨询优惠领取联系:y5230201
2021-01-12 14:33:24
我看到了9个月亮,中国医生一招解决!“洋女婿”患白内障几近失明,在厦门眼科中心手术
























